La consultul în Protocolul Alpin 5 stăm de vorbă în liniște, vedem ce se mai poate salva și ce nu și îți explicăm, pe înțelesul tău, ce variante reale ai pentru dinți ficși.
Fără rușine, fără morală – discutăm situația ta așa cum este acum.
Ne uităm împreună pe radiografii și îți arătăm clar ce opțiuni ai.
Pleci cu un plan în pași, nu cu încă un „las pe mai târziu”.
Lasă-ne datele și te sunăm pentru un consult în Protocolul Alpin 5
Te sunăm în maximum o zi lucrătoare ca să stabilim împreună ziua și ora consultului!
Consultul durează, de obicei, între 30 și 60 de minute și arată, pe scurt, așa:
1. Discuție în liniște: Vorbim despre ce te deranjează cel mai tare acum, de câți ani tot amâni și ce îți dorești, de fapt, să poți mânca și cum să poți zâmbi.
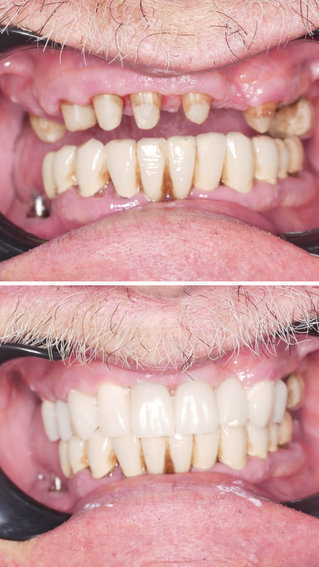
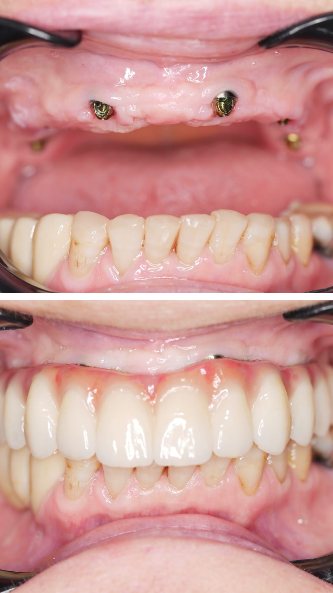
2. Analiză medicală explicată pe înțelesul tău: Ne uităm împreună pe radiografii / CBCT, îți arătăm unde mai avem șanse să salvăm dinți și unde nu, și ce ar însemna, concret, pentru tine o soluție fixă.
3. Plan în pași, cu timp și buget: La final, punem totul cap la cap: ce facem prima dată, ce urmează după, în cât timp, cu ce nivel de buget și ce variante de plată ai, ca să nu fie totul deodată
Simți că ai ajuns în punctul în care vrei să îți pui toată dantura la punct, nu doar un dinte.
Ți se mișcă dinții sau lucrările vechi și nu mai ai încredere în ele.
Porți proteze care se mișcă, dor sau îți e rușine să mănânci în fața altora.
Vrei dinți ficși, dar ai nevoie ca cineva să îți explice clar pașii, duratele și bugetul.
Cauți doar o plombă sau un singur dinte izolat.
Nu iei în calcul niciun pas în următorul an și doar „te interesezi pentru mai încolo”.
Radiologie dentară și scanner intraoral direct în clinică, pentru plan mai precis.
Colaborare cu centru CBCT și laborator dentar partener pentru lucrări complexe.
Posibilitatea de plată în rate prin partener financiar, explicată clar la consult.
Echipa obișnuită să lucreze cu pacienți care au de rezolvat „toată gura”, nu doar lucrări mici.


Pacient care își dorea să își pună toată dantura la punct. Primul pas a fost consultul în Protocolul Alpin 5.
O să doară la consult?
Nu. La consult nu lucrăm efectiv la dinți. Stăm de vorbă, analizăm investigațiile și, dacă e nevoie, facem poze / radiografii. Discutăm în liniște ce variante ai, fără intervenții dureroase.
Cât durează consultul?
În medie, între 40 și 60 de minute, ca să nu simți că ești „pe fugă” și să poți pune toate întrebările.
Cât costă consultul?
Consultația în cadrul Protocolului Alpin 5 pornește de la 398 RON. La final, discutăm deschis despre variantele de tratament, durată și buget, fără presiune să iei decizia pe loc.